La artrosis u osteoartrosis (OA) es un síndrome doloroso degenerativo poliarticular o monoarticular, consecuencial, multifactorial, ortopédico e inmuno-reumatológico, discapacitante que se obtiene como resultado un desgaste articular osteo-cartilaginoso producto de más de cien (100) causas de osteoartritis primarias o secundarias; mecánicas, congénitas, adquiridas, inmunológicas, metabólicas, inducidas, envejecimiento, entre otras, es decir, es una patología caracterizada por la pérdida gradual del cartílago articular, combinado con un engrosamiento del hueso subcondral, específicamente por la aparición de osteofitos en los márgenes de la cara articular. Además, la artrosis puede estar asociada a una inflamación sinovial crónica.[1] La artrosis se puede generar en distintas articulaciones del cuerpo, siendo las más frecuentes las articulaciones de rodilla, cadera, interfalángicas distales y trapecio metacarpianas.
La rodilla es una articulación compleja la cual posee 3 compartimentos, uno para cada articulación; articulaciones tibio–femoral medial y lateral, y la articulación patelo–femoral. Estos compartimentos pueden verse afectados por la artrosis tanto de manera aislada como en conjunto. Las combinaciones más frecuentes para esta patología son: el compartimento medial aislado, y el medial más el patelo–femoral.[2]
Epidemiología
La Osteoartrosis (OA), también denominada artrosis, artritis hipertrófica o enfermedad degenerativa de las articulaciones, es un síndrome articular más frecuente en los seres humanos. La osteoartrosis no es osteoartritis. Es una condición común afectando alrededor del mundo a un 25% de los individuos adultos. Se estima que más del 80% de las personas en la sexta década presenta signos de OA en, al menos, una articulación, siendo más frecuente en mujeres, especialmente después de la menopausia.[3][4][5][6][7]
Incidencia
Si bien los datos epidemiológicos a nivel mundial sobre la OA de rodilla son escasos, el Minsal, según estudios recientes, estima la incidencia de OA sintomática de rodilla en 240 por 100.000 personas/año. Además, el Minsal agrega que la incidencia va en aumento con la edad, siendo mayor en mujeres que en hombres, especialmente sobre los 50 años de edad.[3]
Prevalencia
En Colombia, lo padecen alrededor de 3 millones de personas, y en América Latina la prevalencia es del 7.3%. Se estima que para el año 2050 por lo menos 700 millones de las personas en el mundo van a presentarlo. Se estima que el 50% de quienes la padecen son personas mayores de 60 años y el 80% están entre los 75 y 80 años, pero también se logra presentar de forma prematura en un 5 - 7% en personas desde los 8 años de edad en adelante por problemas de artritis, hematológicos, enfermedades genéticas que afectan al tejido conectivo o secundario a problemas metabólicos, endocrinológicos, mecánicos como las displasias óseas o a traumas articulares que involucraron perdidas de la sustancia osteocondral y del cartílago. (El cartílago es un tejido compuesto en gran parte por colágeno tipo II que amortigua y protege los extremos de los huesos, favoreciendo el movimiento de la articulación).
Según un reporte hecho a nivel nacional en Chile, un 3.8% de la población adulta padece de artrosis (auto reporte). La prevalencia de Osteoartritis aumenta progresivamente con la edad, siendo más frecuente en mujeres.[3][4]
Según el Minsal, “la OA de rodillas es la principal causa de deterioro en la movilidad, especialmente en mujeres… siendo responsable del 2.8% del total de años vividos con discapacidad”, de acuerdo a estimaciones hechas en el año 1990. La Osteoartritis de rodilla además presenta síntomas incapacitantes en aproximadamente 10% de la población mayor de 55 años.[3][5]
Etiología
Según su etiología, se puede diferenciar la artrosis u osteoartrosis (OA) en primaria, o idiopática, y en secundaria.
Artrosis primaria
La artrosis primaria posee una etiología inespecífica, ya que es multifactorial. La artrosis primaria se puede subclasificar en localizada o generalizada, dependiendo de la manera en la que se manifieste la patología. La artrosis primaria localizada será aquella que afecte a solo una articulación y es común en articulaciones de manos, pies, rodilla, cadera y columna. Es menos frecuente, pero no improbable, que afecte a las articulaciones del hombro, temporomandibular, sacroiliaca, tobillo y muñeca. En cambio, la artrosis primaria generalizada será aquella que afecte a dos o más sitios articulares.[2]
Artrosis secundaria
La artrosis secundaria se da por condiciones específicas que pueden directamente provocar la patología o ser un factor de riesgo importante para su aparición.[8] Estas condiciones pueden ser:
- Trauma
- Desórdenes congénitos o del desarrollo
- Condrocalcinosis
- Desórdenes óseos y articulares tales como osteonecrosis, artritis reumatoide, gota o enfermedad de Paget
- Otras enfermedades tales como diabetes mellitus, acromegalia, hipotiroidismo, artropatía neuropática y congelamiento
El inicio específico de la artrosis aún no está bastante claro, pero se sabe que existe una influencia de factores locales, sistémicos, genéticos y ambientales. Experimentalmente se ha comprobado que un aumento de la presión realizada sobre el cartílago articular genera alteraciones en la matriz extracelular del mismo, lo cual explica en parte la alta incidencia de la artrosis de rodilla en personas obesas. Con los años, los ligamentos alrededor de la articulación se vuelven más laxos, provocando inestabilidad y heridas, y la fuerza disminuye gradualmente. Esto finalmente contribuye a una distribución anormal de la presión sobre el cartílago, generando así un estrés que desencadena la patología.
La artrosis también puede ser gatillada por cambios en la estructura del hueso subcondral (aquel que se encuentra por debajo del cartílago articular). Si la articulación se ve afectada repetidamente por microtraumas, los cuales pueden provocar microfracturas en el hueso subcondral. El hueso puede modificar la calidad biomecánica del cartílago que se encuentre alrededor de las zonas de fractura. Estos cambios del cartílago pueden generar en el hueso la síntesis de factores de crecimiento, los cuales pueden resultar en la producción de osteofitos u osteoesclerosis.
Estudios epidemiológicos sobre la prevalencia de la artrosis en mujeres postmenopáusicas sugieren que uno o más factores hormonales están involucrados en el inicio de la patología. Los condrocitos poseen receptores de membrana para estrógenos, y la estimulación de estos receptores activa la síntesis de factores de crecimiento. Después de la menopausia, los niveles de estrógeno plasmático disminuyen notoriamente. Esto provoca que disminuya la síntesis de factores de crecimiento por parte de los condrocitos. Esta teoría sigue siendo estudiada, particularmente en los casos de artrosis de rodilla y mano, ya que son los sitios con mayor prevalencia a ser afectados en la población.[1]
Factores de riesgo
Antes se pensaba que la artrosis era una consecuencia normal del envejecimiento, por lo que se le consideró como una patología que provocaba la degeneración articular. Hoy en día, se sabe que la artrosis surge como una suma de distintos y múltiples factores. Estos factores de riesgo surgen sobre la base de estudios epidemiológicos y son:
- Edad: Es el factor de riesgo de artrosis más importante.
- Sexo femenino por sobre el masculino: La razón de porqué es un factor de riesgo más fuerte para mujeres que para hombres aún desconocida, pero se piensa que guarda relación con hormonas, genética y otros factores indeterminados.
- Obesidad: Es el factor de riesgo más modificable en cuanto al desarrollo de la artrosis. El grado de importancia de la obesidad como factor de riesgo de la artrosis variará de articulación en articulación.
- Ocupación: El grado de incidencia de la ocupación variará en el tipo de ocupación y en la articulación que más se vea afectada por este trabajo. En el caso de la rodilla, se verá mayoritariamente afectada por actividades que requieran su constante flexión y extensión, ejemplo de esto sería la ocupación de plomero.
- Actividades deportivas: Las actividades deportivas serán un factor de riesgo siempre cuando sea una actividad que afecte a la articulación directamente, y variará dependiendo de la articulación y el tipo de deporte. En el caso de la rodilla, serán factores de riesgo para artrosis los deportes tales como boxeo, ciclismo, paracaidismo y fútbol.
- Lesiones previas: Cuando existen lesiones previas y/o anormalidades en la articulación, se favorece la aparición de artrosis, específicamente en la rodilla. Las lesiones pueden ser tanto en la articulación como en las zonas adyacentes a ella. Las anormalidades en los meniscos son frecuentes en pacientes que padecen de artrosis.
- Deficiencia muscular: En el caso de la artrosis en rodillas, estudios han demostrado que existe una relación entre el padecimiento de la enfermedad junto con la fuerza muscular del cuádriceps. Se concluyó que la debilidad muscular del cuádriceps puede estar etiológicamente relacionado con el inicio o progresión de artrosis en algunos pacientes.
- Elementos genéticos: En el caso de la artrosis de rodilla, estudios han demostrado una asociación en el polimorfismo del gen LRCH1 en el cromosoma 13 con la artrosis. La función del producto de LRCH1 es aún desconocida, pero se sabe que posee porciones homólogas a aquellas que codifican para proteínas que se unen a actina las cuales regulan la forma celular y participan en la señalización intracelular.
- Acromegalia: Asociada con el desarrollo de artrosis secundaria.
- Condrocalcinosis: La existencia de cristales de calcio intraarticular coexiste con el daño que sufre el cartílago en pacientes con artrosis, pero aún no se ha establecido la relación entre ambos fenómenos. La artrosis de rodilla es la que presenta mayor prevalencia a poseer cristales de calcio intraarticulares, pero también se han encontrado en las articulaciones del hombro, codo y muñeca.[9]
La edad, sexo, obesidad, ocupación y actividades deportivas serán factores que en conjunto se presentarán como riesgos de padecer artrosis primaria, ya que de por sí no son capaces de desencadenar la patología. En cambio, el resto de los factores se relacionan más con la artrosis secundaria ya que serán fenómenos claros que se saben iniciarán directamente la patología.
Fisiopatología
Los condrocitos son las células encargadas de mantener la homeostasis fisiológica del cartílago articular, sintetizando colágenos, proteoglicanos y proteinasas que forman parte de la matriz extracelular. Sin embargo, alteraciones en el proceso de diferenciación de los condrocitos produce una matriz extracelular de menor resistencia y elasticidad, además de un desbalance entre la síntesis y degradación de la misma. Esto se debe a la hipertrofia de los condrocitos, cuyos efectos incluyen una reducción de la expresión de colágeno tipo II y agrecán; aumento en la producción de metaloproteinasa 13 (MMP-13), la cual cataliza la degradación de colágeno y proteoglicanos, lo cual, junto a la disminución de los inhibidores naturales de las proteinasas, causará el desbalance entre síntesis y degradación de la matriz extracelular; y promoción de la calcificación patológica.[4][7]
La actividad anormal de los condrocitos se debe a la activación del tejido por citoquinas, mediadores lipídicos (principalmente prostaglandinas), radicales libres (NO, H2O2) y otros componentes de la matriz, como fragmentos de fibronectina. Una vez que los condrocitos han sido activados, son capaces de producir ciertas proteinasas y mediadores proinflamatorios.[4]
Las células sinoviales fagocitan los fragmentos de cartílago que son liberados hacia la articulación, provocando la inflamación sinovial. Luego, dichas células son capaces de producir mediadores que son liberados a la cavidad articular, tales como proteinasas y citoquinas, las cuales alteran la matriz cartilaginosa y perpetúan la activación de los condrocitos.[4]
Finalmente, los osteoblastos del hueso subcondral en la osteoartritis, al poseer un fenitipo alterado, producen más fosfatasa alcalina, osteocalcina, IGF-1 y uroquinasa. Estas células alteradas contribuyen a la degradación de la matriz cartilaginosa al inhibir la síntesis de componentes de esta última y al aumentar la síntesis de proteinasas por parte de los condrocitos en el cartílago articular.[4]
Semiología
La Osteoartrosis (OA) es un síndrome articular más frecuente en los seres humanos. Es además una enfermedad focal de las articulaciones ya que, a diferencia de las artropatías inflamatorias, no siempre afectan a la articulación completa y puede afectar o involucrar procesos metabólicos severos. Por ejemplo, en la rodilla las partes más afectadas son los compartimentos tibiofemoral medial y patelofemoral lateral[4][6]
Las manifestaciones de la Osteoartrosis de rodilla son variadas y dependen del grado de compromiso, sin embargo, ciertos autores coinciden en que la OA se caracteriza por una limitación de los movimientos articulares; rigidez posterior a un período de inactividad, especialmente en la mañana, la cual desaparece alrededor de 30 minutos después de movilizar la articulación; crepitación articular; esclerosis ósea subcondral; formación de protuberancias óseas u osteofitos marginales; inestabilidad articular; presencia de edema y; dolor articular, especialmente después del ejercicio. Puede presentarse además deformidad en valgo o varo de una o ambas rodillas, aunque esta sería un fenómeno tardío dentro de la historia natural de la enfermedad.[3][6][7][10]
Adicionalmente, se ha dicho que la OA de rodilla se caracteriza por una disminución del espacio articular fémorotibial medial, lateral o ambos y, en los casos más avanzados pueden existir quiste subcondrales y mal alineamiento secundario.[3]
Diagnóstico
El diagnóstico de osteoartrosis de rodilla es complicado por diversos factores, siendo alguno de éstos las discordancias que pueden existir entre síntomas expresados por el paciente y el estudio radiológico. Para poder sobrellevar estas dificultades, se han estandarizado en distintos países la definición, la clasificación y el diagnóstico de esta patología.[8] En Chile, al ser una patología GES, la estandarización es acabada y es como se muestra a continuación.
Se sospecha osteoartrosis o artrosis de rodilla, en todo paciente mayor de cincuenta años que sienta dolores persistentes en la rodilla hace más de treinta días, que aumentan con la actividad física (cargar peso, subir o bajar escaleras) y que disminuyen con reposo. Otros elementos que permiten establecer una sospecha de diagnóstico de artrosis de rodilla son:
- Rigidez articular matinal de menos de 30 minutos.
- Dolor que suele ser más importante al inicio de la marcha y que tiende a ceder con el movimiento. Tratamiento
- Instalación insidiosa en el tiempo.
- Deformidad ósea (articular) y atrofia de cuádriceps.
- Contractura o rigidez de la articulación comprometida.
- Crepitación a la movilización articular.
- Derrame articular frío o no-inflamatorio.
Para poder establecer el diagnóstico de osteoartrosis de rodilla, se pueden utilizar sólo elementos clínicos, o junto a éstos, como complemento, también se pueden utilizar estudios de laboratorio.
Si se utilizan sólo elementos clínicos para establecer el diagnóstico, tienen que presentarse al menos tres de los seis criterios a continuación:
- Mayor de 50 años.
- Rigidez matinal de menos de 30 minutos.
- Crepitaciones óseas.
- Sensibilidad ósea (dolor a la palpación de los márgenes articulares).
- Engrosamiento óseo de la rodilla.
- Sin aumento de temperatura local al tocar.
(Criterios del Colegio Americano de Reumatología)
Si se utilizan elementos clínicos complementados con una radiografía basta con que ésta presente osteofítos, es decir que presente crecimiento excesivo de tejido óseo alrededor o dentro de la articulación en cuestión y que se presente al menos uno de los criterios siguientes:
- Edad mayor de 50 años
- Rigidez menor de 30 minutos
- Crujido articular
El utilizar exclusivamente elementos clínicos proporciona una sensibilidad de 95% y una especificidad de 69%, en cambio cuando se los complementa con una radiografía, la sensibilidad es de 91% y la especificidad aumenta a 86%.[3]
Exámenes complementarios
Radiografía
Para el estudio complementario de esta patología, encontramos diversos exámenes que pueden ser útiles, siendo el primero de todos, el uso de radiografía. Ésta resulta muy útil al momento de descartar otras patologías específicas y sobre todo en las condiciones a continuación descritas:[3]
- Con historia de trauma, para descartar fractura.
- Con derrames articulares muy grandes.
- Dolor que con el examen físico no puede ser atribuido a la propia artrosis, bursitis o ligamentos.
- Pérdida de rango de movimiento sin condición preexistente conocida.
- Dolor severo, aun cuando tenga diagnóstico previo.
- Dolor intenso, persistente, en especial en personas jóvenes.
- Fracaso con el tratamiento conservador.
- Antes de referir al médico especialista.
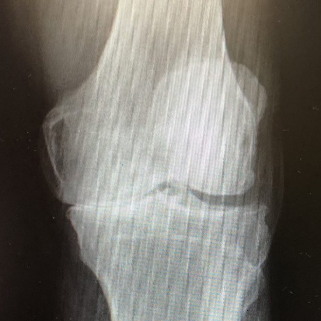
Para reconocer una artrosis de rodilla gracias a una radiografía, se tiene que observar un espacio articular reducido y la presencia de osteofitos.[3]
De acuerdo a la escala de Kellgren y Lawrence se puede estudiar la progresión de la artrosis, estableciendo así distintos grados según diferentes criterios como lo son la presencia de osteofitos, los cambios en el hueso subcondral, entre otros.
Ecografía
Otra técnica imagenológica útil para la confirmación diagnóstica de ésta patología es la ecografía ya que permite ver el cartílago de cualquier articulación de las extremidades (en este caso de la rodilla).[11]
Resonancia magnética
Esta técnica en particular, se presenta como la técnica con mayor sensibilidad y especificidad en artrosis dado que muestra los tejidos blandos como el cartílago tanto como los tejidos óseos. Permite detectar cambios degenerativos precoces y complicaciones periarticulares y óseas, como la presencia de osteofitos, el adelgazamiento del cartílago hialino y edema subcondral, siendo particularmente útil cuando no hay certeza diagnóstica. Desgraciadamente, en el sector público no es muy utilizada debido a su alto costo y poca accesibilidad.[8]
Artrocentesis: Examen del líquido sinovial
Finalmente, si el paciente presenta un aumento del líquido sinovial de la rodilla, se recomienda tomar una muestra de éste para su análisis, es decir se lleva a cabo una Artrocentesis. En el caso de una osteoartritis, el líquido sinovial debiese ser claro, transparente o de un leve tinte amarillento, con una filancia normal de 3 cm, pudiendo haber presencia de sales cristalinas.[3]
Diagnóstico diferencial
Debido a una sintomatología similar a la artrosis ésta puede ser confundida en su diagnóstico con otras patologías, entre éstas encontramos la enfermedad por deposición de cristales de pirofosfato de calcio, la artritis reumatoidea y la artritis séptica.[3]
La enfermedad por deposición de cristales de pirofosfato de calcio o condrocalcinosis, debilita el cartílago por la deposición de este tipo de cristales en él, facilitando así un mayor desgaste en este último.
Por otro lado la artritis reumatoidea es una enfermedad autoinmune, lo que quiere decir que en este caso es el sistema inmunitario que ataca al tejido sano por error, en este caso al tejido cartilaginoso.
Finalmente, cuando hablamos de artritis séptica, hablamos de una artritis causada por microorganimos, ya sean bacterias o virus, lo que determinará la clasificación propia de esta patología.[8]
Siendo estas patologías comúnmente más graves que la osteoartritis, el diagnóstico de esta última es un diagnóstico de descarte, es por esto que según la guía GES si un paciente presenta alguno de los hechos a continuación hay que pensar de antemano en un diagnóstico diferente al de artrosis de rodilla:
- Fiebre o calofríos
- Enrojecimiento
- Calor local
- Grandes derrames
- Bloqueo o inestabilidad articular
- Parestesias o paresias de la extremidad
De la misma manera, cuando el paciente no cumpla con todos los criterios clínicos de osteoartristis, o que luego de 4 a 6 semanas de manejo terapéutico inicial no se hayan obtenido mejoras de los síntomas, entonces también hay que pensar en un diagnóstico diferencial a la artrosis de rodilla.[3]
Tratamiento
Se debe enfocar su tratamiento a un manejo interdisciplinario encabezado por médicos especialistas en ortopedia y traumatología preferiblemente sub-especialistas en cirugías reconstructivas y del reemplazo articular de la cadera y la rodilla, ya que estas articulaciones son las más involucradas estadísticamente y afectadas por el síndrome artrosico asociadas a que los mismos las valoran y tratan desde un manejo médico no farmacológico o farmacológico hasta un manejo quirúrgico con cirugías o procedimientos mínimamente invasivos. Asociado deben estar involucrados en su manejo; médicos especialistas clínicos como los reumatólogos en casos que involucren procesos inmunoreumatologicos, fisiatras o médicos rehabilitadores.
Se recomienda considerar como respuesta terapéutica mínima, el que los pacientes logren un alivio de al menos un 20% del dolor y mejoría en 1 categoría funcional respecto de su situación previa al inicio del tratamiento. Si luego de 4 a 6 semanas de tratamiento bien realizado los objetivos de tratamiento no se logran, el paciente debería ser revaluado por el médico tratante para considerar opciones terapéuticas alternativas.[3]
Tratamientos no farmacológicos
- Educación del paciente
La entrega de información y educación son en general una obligación de los equipos médicos, a la vez que una responsabilidad compartida con los pacientes. Esto es particularmente importante en enfermedades crónicas como la artrosis u osteoartritis (OA), y debe incluir aspectos relativos a la importancia de la enfermedad, sus formas de estudio, estado, evolución, alternativas terapéuticas de tratamiento y pronóstico.
Diferentes ensayos clínicos y meta-análisis han demostrado la utilidad de diversas técnicas educativas y su beneficio para el paciente en el tratamiento de la OA de rodilla. Primero se debe recordar que bajo este concepto se agrupa no solo la educación del paciente propiamente tal sino que también su grupo familiar.
Así se ha demostrado que son útiles programas educativos individuales o grupales, llamados telefónicos periódicos y entrenamiento en técnicas para sobrellevar el problema.[1]
- Programa de Ejercicios
De acuerdo a los resultados de diferentes estudios, los ejercicios de fortalecimiento muscular de las extremidades inferiores tendrían beneficios en disminuir el dolor al pararse y estado funcional general, así como la disminución del dolor al caminar o al subir escalas y la rigidez de la. Sin embargo, se aconseja que estos sean realizados según la tolerancia del paciente de forma progresiva y gradual.[3]
Todo paciente con OA de rodillas o caderas debiera realizar un programa de ejercicio para mejorar la condición de la musculatura de las extremidades inferiores. Dicho programa de ejercicio puede ser realizado de manera individual o grupal, tales como ejercicios aeróbicos como los acuáticos o de paseo durante 30-60 minutos diarios. Estos ejercicios son más beneficiosos al tratamiento de artrosis de rodilla ya que presentan una menor tasa de abandono frente a las rutinas de ejercicios más intensas, al adaptarse a las capacidades de cada persona y al implicar un menor esfuerzo.
También la potenciación muscular de los cuádriceps mediante ejercicios isométricos (no implican movimientos de las articulaciones, acortamientos o alargamientos de un músculo permaneciendo estáticos pero generando tensión) o isotónicos (implican movimientos de articulaciones y el acortamiento y alargamiento de un músculo), se asocian a una mejoría significativa en la fuerza del músculo así como una disminución en el dolor de la rodilla y una mejoría de la función.[3]
- Baja de peso
La obesidad es el mayor factor de riesgo para el desarrollo y progresión de la artrosis de rodilla. Existe evidencia que la reducción de peso disminuye el riesgo de desarrollar OA. Además hay estudios que demuestran que pacientes con OA de rodillas y que tengan sobrepeso o sean obesos, una reducción de peso de a lo menos un 5%, especialmente si se asocia a ejercicio moderado, mejora significativamente el dolor y la funcionalidad.
A todo paciente con sobrepeso u obeso se le debe recomendar una baja de peso de a lo menos 5%, lo cual puede ser logrado, entre otros, por una re educación alimentaria, así como ejercicio adecuado a su condición.[3]
- Ortesis
Se definen como apoyo u otro dispositivo externo (aparato) aplicado al cuerpo para modificar los aspectos funcionales o estructurales del sistema neuromusculoesquelético tales como férulas, zapatos con suelas viscoelásticas que absorban el shock o plantillas de descarga que corrijan las anormalidades biomecánicas en una rodilla. Por ejemplo el uso apropiado de un bastón, en la mano contralateral a la rodilla afectada reduce las fuerzas de carga en la articulación y se asocia con una disminución del dolor y una mejora de la función.[3]
En pacientes con OA de rodilla de compromiso predominante del compartimiento medial, el uso de ortesis en valgo alivia significativamente el dolor y mejora la función. Si bien este aspecto cuenta con evidencia que avalaría su uso, ello no es una práctica extendida, posiblemente por la baja adherencia al tratamiento y los costos asociados.[3]
El uso de calor en infrarrojos, ultrasonido, microondas, diatermia o parafina líquida ayuda también al alivio del dolor del paciente. En fase aguda de la artrosis de rodilla se recomienda sin embargo, el frío en forma de analgésico de uso tópico.[3]
Tratamientos farmacológicos
Analgésicos
- Medicamentos por vía oral
La primera opción farmacológica a considerar debe ser el paracetamol, el cual debe ser usado en dosis y por tiempo apropiado. Este es la primera opción farmacológica sugerida en las guías de manejo de OA de la Liga Europea contra el Reumatismo, así como del Colegio Americano de Reumatología.
Diversos estudios han demostrado la eficacia del paracetamol con mejor tolerancia que los antiinflamatorios no esteroidales (AINEs).[3]
La dosis recomendada es de 1 gramo cada 8 horas, pero según la respuesta se puede utilizar hasta 4 gramos por día.[3]
El principal efecto adverso aunque escaso es la hepatotoxicidad, por lo que el uso del paracetamol es a emplearse con cautela en pacientes con daño hepático conocido y evitándose en sujetos con abuso de alcohol crónico.[3]
Si la respuesta no fuera adecuada y enfatizando en que no existan contraindicaciones, el médico pudiera evaluar el uso de metamizol (dipirona) 500 mg 2 o 3 veces al día.
Como segunda opción tenemos los antiinflamatorios no esteroidales o AINEs que son fármacos que tienen actividad analgésica, antiinflamatoria y antipirética y que poseen como principal mecanismo de acción la inhibición de la ciclooxigenasa 2 y con eso la reducción en la liberación de mediadores inflamatorios.
Son más eficaces que el paracetamol pero presenta mayor número de efectos adversos principalmente gastrointestinales tales como diarrea y náuseas, produciría también, efectos colaterales como insuficiencia renal e incremento de la tensión arterial.
Los antiinflamatorios no esteroidales, debido a su eficacia, son usados frecuentemente para el manejo de la inflamación ocasional y el dolor aliviando significativamente a este último.
No se ha demostrado que exista uno mejor que el otro para el control sintomático, pero en grado de toxicidad el Ibuprofeno en bajas dosis sería el menos dañino, luego vendrían el Naproxeno y Diclofenaco y los con mayor nivel de toxicidad serían los Piroxicam, Ketorolaco, Ketoprofeno y Tolmetín. Estos deben usarse a la menor dosis efectiva posible evitando los efectos colaterales.
Los AINEs sin embargo, serían utilizados solo en caso de que el paracetamol no presentara una modificación consistente en el alivio del dolor del paciente.
Finalizando con los medicamentos analgésicos de vía oral, en Chile se utilizan 2 analgésicos opioides que pueden ser usados por vía oral: Codeína y Tramadol. Si bien la evidencia que avala su uso en OA de rodillas es escasa, existen varios EnCAs (Ensayos Clínicos) que demuestran la utilidad de la adición de este tipo de fármacos a los analgésicos o AINEs en pacientes con OA de rodilla.
Aquellos pacientes que tengan contraindicaciones para el uso de AINEs o el médico de atención primaria considere que existe un alto riego de eventos adversos (antecedentes de úlcera péptica o sangrado digestivo en el último año, hipertensión arterial mal controlada, insuficiencia cardíaca, insuficiencia renal, entre otros), deberán ser derivados al reumatólogo para definir la terapia a considerar.
En pacientes que tengan alto riesgo de daño gastrointestinal y requieran de un AINE, en los que además no existan factores de riesgo cardiovascular importantes (como por ejemplo HTA, ICC, depleción de volumen, daño renal, etc), pudiera usarse de manera alternativa un COXIB (de nombre comercial CELEBRA) o bien la asociación de un AINE tradicional junto con omeprazol o fármacos similares.[3]
- Medicamentos de uso tópico
Considerando la eficacia demostrada y la alta seguridad de este tipo de fármacos, su uso es recomendable en aquellos pacientes con artrosis de rodillas que no responda al uso de analgésicos simples.
En aquellos pacientes que tengan artrosis de rodilla y tengan una respuesta insuficiente con el paracetamol o bien que esté contraindicado, puede emplearse AINE tópico o capsaicina tópica. Este tipo de terapias es ampliamente usado, bien tolerado y en general es del agrado de los pacientes.[3]
La capsaicina es el componente activo de los elementos picantes tales como el ají que tiene función analgésica en dosis moderadas demostrando una mejora de la funcionalidad y una disminución del dolor en solo 3 meses de tratamiento.[12]
Un Ensayo Clínico (EnCa) de 235 pacientes con OA leve de rodilla, comparó Piroxicam tópico (antiinflamatorio) contra ibuprofeno oral (AINE), no encontrándose diferencias significativas en el alivio del dolor que resultó de al menos un 60%, lo que demuestra su potencial utilidad.[3]
Función condroprotectora
- Drogas sintomáticas de acción lenta para la OA
Bajo esta denominación se agrupa un grupo de fármacos que tiene efectos sintomáticos y son de acción lenta. Entre ellos se encuentran el sulfato de glucosamina, el sulfato de condroitina y la diacereina.[13]
Son eficaces para pacientes con una artrosis de rodilla leve a moderada tomados durante 6 semanas, mostrando un control del dolor y mejoría funcional de la rodilla. Pero en tiempos más prolongados de 2 a 3 meses no se ve una mejora funcional ni control del dolor como la que existe a las 6 semanas.[3]
- Terapia intra-articular
Si el paciente no responde a las terapias orales y persiste con dolor y/o tiene aumento de volumen articular de la rodilla, deberá ser derivado al especialista para considerar el uso de terapia intra articular. Existe evidencia que avala la utilidad de los corticoides intra articulares en episodios de dolor articular agudo, especialmente si se acompañan de derrame articular. La duración del efecto es relativamente corta, es decir de 16 a 24 semanas, siendo realizado el procedimiento por un médico reumatólogo.
Respecto de la seguridad de los corticoides intra articulares, existe un EnCA que demostró que las infiltraciones realizadas hasta cada 3 meses durante el período de 2 años, no provocarían daño articular.[3]
- La viscosuplementación
Es una técnica que consiste en la inyección intra articular de ácido hialurónico o un símil, de alto peso molecular. Permitiría mejorar las funciones biomecánicas del líquido sinovial, disminuir la liberación de enzimas proinflamatorias y de neuropéptidos productores de dolor. Los estudios clínicos muestran un beneficio significativo, pero moderado, en la OA de rodilla, con una duración de hasta seis meses. El procedimiento requiere de 3 a 5 inyecciones separadas por una semana, con posibles efectos de necrosis de tejidos si cae fuera de la articulación, por lo que debe ser realizada por un especialista.[3]
- Lavado articular
Se aplica a pacientes con artrosis evolucionada y sintomática que no han respondido a los tratamientos farmacológicos y no farmacológicos o que rehúsen el tratamiento quirúrgico. Es poco agresivo y evita la polimedicación del paciente, presentando una mejoría sintomática de 6 meses
Los lavados articulares se realizan con suero fisiológico pudiendo hacerse de manera ambulatoria bajo anestesia local consiguiendo la distensión articular transitoria, liberando potenciales adhesiones articulares, contribuyendo a la retirada de detritus, citoquina inflamatorias y microcristales.[14]
Tratamiento quirúrgico
Indicada fundamentalmente en pacientes con artrosis sintomática severa cuyo dolor no ha respondido al tratamiento médico y que las limitaciones de su vida diaria aumentan.[14]
- Osteotomía
Consiste en la práctica de cortes en la tibia o el fémur, de forma que el cirujano puede efectuar cambios en su posición.[3]
Esta puede ser valguizante de tibia proximal si es que la afectación es unicompartimental e interna, o femoral supracondílea de apertura si es que la afectación es del compartimento externo. Con estos procedimientos se consigue realinear el eje del miembro para lograr la redistribución de cargas desde el compartimiento más afectado hacia el normal o menos afectado, con lo cual disminuye el dolor y mejora la función.[15]
Se indica en pacientes jóvenes menores de 60 años con desalineación varo-valgo inferior a 20°, estadios evolutivos radiológicos iniciales, con flexión mínima de 90° y ausencia de subluxación de espinas tibiales o bostezo articular importante. Proporciona alivio sintomático y previene la progresión de la enfermedad.[14]
- Artroplastia o recambio "reemplazo" articular
Es una intervención irreversible usada en pacientes en los que han fallado los tratamientos previos y tienen una enfermedad articular severa. Esta consiste en el reemplazo del cartílago severamente dañado de la articulación de la rodilla con aleaciones de metal (titanio) y plástico (polietileno de ultraalta densidad). Estas que se cementan en los extremos óseos femoral y tibial, tras la extirpación de las áreas defectuosas. Los componentes están diseñados de manera que el metal se articula contra el plástico, lo que proporciona un movimiento uniforme con mínimo desgaste. La artroplastia puede ser total o parcial, es parcial si está lesionada una parte de la rodilla (interna o externa), donde se implanta una prótesis unicompartimental, que es de pequeño tamaño y requiere sólo una pequeña incisión en la rodilla. La artroplastia total está indicada en los casos avanzados de artrosis con compromiso tricompartamental y en pacientes mayores de 65 años. La movilidad de la rodilla con prótesis implantada es de 0° a 115° lo que conlleva a una mejora de la calidad de vida, reduciendo el dolor y mejorando la función en los pacientes incapacitados.[14]
- Artrodesis
La artrodesis de rodilla es un procedimiento que fusiona el hueso del muslo con el hueso de la pierna en la rodilla. Es posible que sea necesario fijar los huesos unidos con placas y tornillos. Este método de soporte se denomina “fijación interna”, y proporciona sostén mientras los huesos se fusionan. Esta medida es la más extrema ya que después de esta, no se puede volver a flexionar la rodilla.[16]
Prevención
Prevención primaria
De acuerdo a la información existente, sería recomendable llevar una dieta sana y equilibrada evitando el sobrepeso y la obesidad, así como estimular hábitos de vida sana que incluyan el ejercicio regular de acuerdo a la edad y el estado físico de cada persona.
Se sabe que la obesidad es el primer factor de riesgo para desarrollar artrosis de rodilla, ya que el peso extra que soporta la articulación, acelera el desgaste del cartílago articular aumentando así el dolor del paciente, por ende, esta también es la primera manera de combatirla. También cabe decir que limitar los esfuerzos físicos intensos tales como cargar objetos pesados o ejercer fuerzas mal empleadas reduce el desarrollo de esta enfermedad.
Por otro lado, el ejercicio fortalece los músculos que soportan la articulación de la rodilla, aunque evitando los deportes de contacto tales como el básquetbol o el fútbol, ya que son un factor importante de desarrollo de la artrosis de rodilla por el debilitamiento de los meniscos.
En la población de 65 años y más, es recomendable aplicar el Examen Funcional del Adulto Mayor (EFAM) una vez al año, ya que este instrumento es predictor de pérdida de funcionalidad, y por ende evalúa la funcionalidad de las extremidades inferiores.
Prevención secundaria
En caso de padecer ya la enfermedad, se deben evitar los movimientos que producen dolor, ya sea utilizando preferentemente otras articulaciones o limitando el uso de las enfermas, sin embargo, hay que evitar mantenerlas inmóviles.
Hacer ejercicio con las articulaciones enfermas es fundamental tanto para mantener la movilidad como para fortalecer los músculos y así evitar que la articulación quede inactiva. Este ejercicio debe ser suave y que no provoque dolor. Si es excesivo, ya sea en tiempo, esfuerzo o intensidad, será perjudicial para la salud y el desarrollo de la enfermedad.
El uso de bastones o muletas y reducir el esfuerzo de las articulaciones enfermas, es una forma de evitar el dolor y la degeneración de la enfermedad.
Los hábitos posturales son también un tema importante de mencionar ya que, el paciente debe dormir sobre un colchón plano y evitar sentarse en sillones hundidos. En cuanto a las sillas, deben tener el respaldo recto, donde las caderas y rodillas mantengan una posición natural y los pies estén en contacto con el suelo, de esta manera, las articulaciones se mantendrán en una posición correcta, sin ser forzadas en otros sentidos.
El frío o el calor (en forma localizada, en ambos casos) pueden, respectivamente, aliviar temporalmente el dolor y la sensación de rigidez articular.
Pronóstico
La artrosis de rodilla es una enfermedad que no es mortal sin embargo puede llegar a provocar invalidez en condiciones muy avanzadas o en pacientes que tienen tratamientos contraindicados por enfermedades previas.[17]
Rehabilitación
Se realiza evaluación kinésica funcional. Se elabora un plan de intervención individual o grupal. Una vez que el paciente ha controlado el dolor y ha recuperado funcionalidad, se orientará a grupos de ejercicios de la comunidad conducidos por monitores formados, bajo la supervisión del kinesiólogo.[3]
Véase también
- Ortopedia y Traumatología
- Reumatología
- Artrosis
- Rehabilitación
- Dolor de rodilla
Referencias
Enlaces externos
- Preguntas frecuentes en la Artrosis de Rodilla y tratamiento Archivado el 13 de agosto de 2018 en Wayback Machine.
- Artrosis de rodilla




